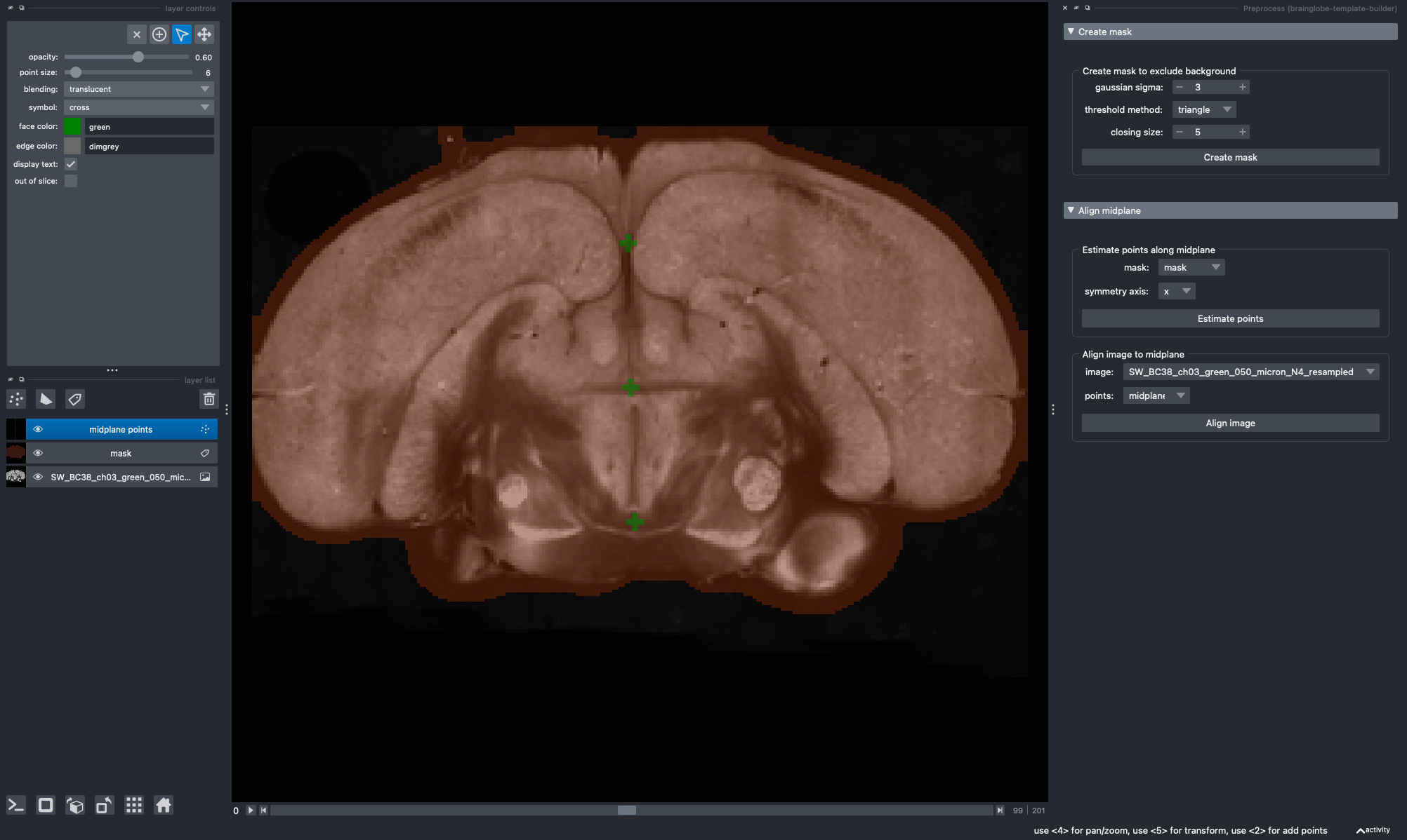
brainglobe-template-builder


A Titan condemned to hold up the heavens or sky for eternity after the Titanomachy
The most superior (first) cervical vertebra (C1) of the spine and is located in the neck.
A collection of maps; it is typically a bundle of maps of Earth or of a region of Earth.
A Brain Atlas:
is composed of serial sections along different anatomical planes of the healthy or diseased developing or adult animal or human brain where each relevant brain structure is assigned a number of coordinates to define its outline or volume. Brain atlases are contiguous, comprehensive results of visual brain mapping and may include anatomical, genetic or functional features.
aliases: labels, regions, parcellations, segmentations, structures
Comprehensive


Remedies




Degrees of freedom (DOF): rigid (6), affine (12), nonlinear (n_voxels x 3)
Constraints: maximize similarity, minimize deformation
Similarity metrics: mutual information, cross-correlation etc.
Optimisation algorithms: Nowdays mostly gradient descent/ascent

antsRegistration and antsApplyTransformsantsMultivariateTemplateConstruction2.sh1. Acquire 3D whole-brain images
2. Build a template
3. Annotate brain areas
4. Package and distribute
| Step | Task | Method |
|---|---|---|
| 1. | 3D whole-brain imaging | AMF + collaborating imaging facilites |
| 2. | Build a template | braiglobe-template-builder |
| 3. | Annotate regions | Collaborating experts (with napari widgets?) |
| 4. | Package for BrainGlobe | Improved bg-atlasgen (Alessandro & Viktor) |
| 5. | Distribution | bg-atlasapi |

antsMultivariateTemplateConstruction2.sh (uses SyN for nonlinear registration)brainglobe-template-builderStanding on the shoulders of giants (or turtles all the way down):
brainglobe-template-builderoptimized_antsMultivariateTemplateConstructionantsMultivariateTemplateConstruction2.shANTsITKAdded value:


NIU team meeting | 2024-01-17